山东省胸科医院引进
全省第一台LungPro诊治肺小结节导航系统
2018年9月6日,山东省胸科医院王晓平主任团队在全球领先的LungPro全肺导航系统引导下完成肺结节活检术。
患者情况简介:
女,54岁,间断胸闷不适半年,伴有灰黑色痰,加重20天CT 提示:左上肺叶实性结节,性质待查。

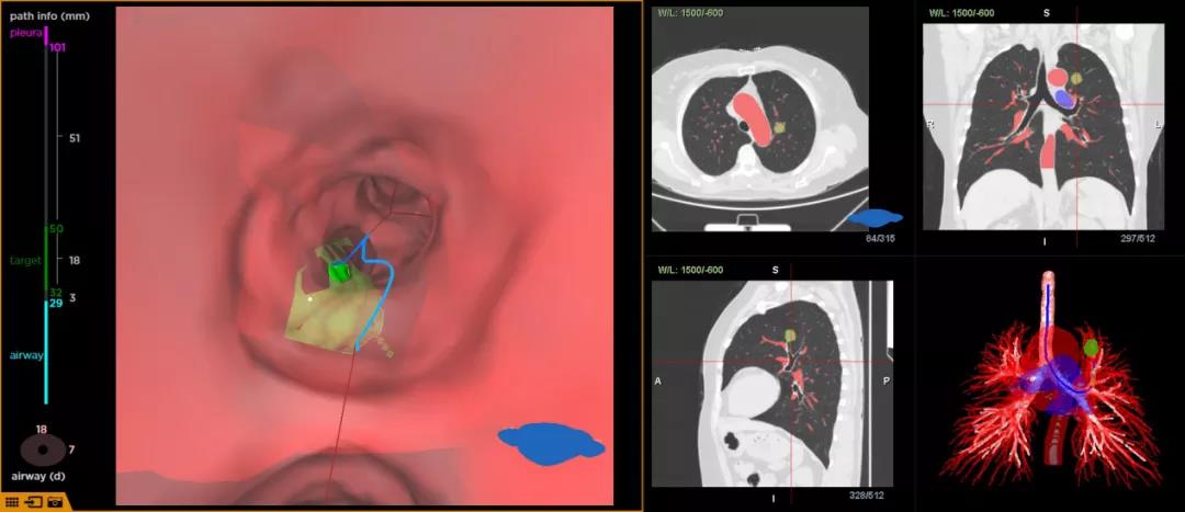
术前规划:
王晓平主任指出,依据CT影像提示患者病灶在左上叶,病灶临近气道,病灶位置较高,行支气管镜进行活检有一定难度。
将CT数据导入LungPro全肺诊疗导航系统后,系统自动重建全肺血管气管,通过LungPro系统精准识别病灶,明确病灶位于左上叶尖端亚段支开口,病灶临近气道,旁边伴行两根大血管;且明确病灶整体大小,及其与气道、血管的位置关系等后,确定手术方案。


术中情况:
在LungPro全肺诊疗导航系统的气道内导航模块引导下,实时显示镜下视野及路径信息,快速精准抵达病灶,整个手术仅耗时不到五分钟。使用径向超声确认抵达病灶中央,并行活检钳取得肺活检组织。经现场ROSE判定为非正常肺组织。


术后点评:
王主任对LungPro全肺诊疗导航予以充分肯定。术前规划、术中匹配操作简单,特别是LungPro全肺诊疗导航的气道内导航模块,能快速精准引导支气管镜抵达病灶、且没有任何定位耗材,独有的3D重建全肺血管、气管技术,为临床诊断和治疗提供更安全有效的手术方案。

术者简介:
王晓平主任医师
山东省胸科医院呼吸内镜诊疗科科主任
擅长呼吸内镜下的各项介入诊疗技术,目前致力于肺小结节的早期诊治及复杂大气道阻塞的救治工作
· 中华医学会结核病分会呼吸内镜专业委员会副主任委员
· 中国医师协会呼吸内镜医师培训基地主任
· 中国防痨协会结核病临床专业分会呼吸内镜介入专业副主任委员
· 中国医师协会呼吸医师分会介入呼吸病学工作委员会委员
· 中国医师协会内镜医师分会呼吸内镜专业委员会委员
· 山东防痨协会理事,
· 山东省医师协会呼吸疾病介入医师分会委员
· 山东防痨协会呼吸内镜专业委员会主任委员

王晓冬
气管镜诊疗科医师。
现为中国肺癌防治联盟全程管理委员会委员、中国肺癌防治联盟青年委员会委员
北京健康促进会呼吸及肿瘤介入诊疗联盟委员
山东预防医学会肺癌防治专业委员会委员
山东防痨协会呼吸内镜委员会委员
协助科室领导完成山东省内第一例硬质气管镜诊疗术
第一例气道内硅酮支架置入术等,现每年完成气管镜诊疗1000余例。
扫一扫 关注我们
山东天使健康救助联盟
山东省扶贫开发基金会 • 天使健康专项基金